SMILE GALLERY
Original Cases done by Dr. Amtul Saba

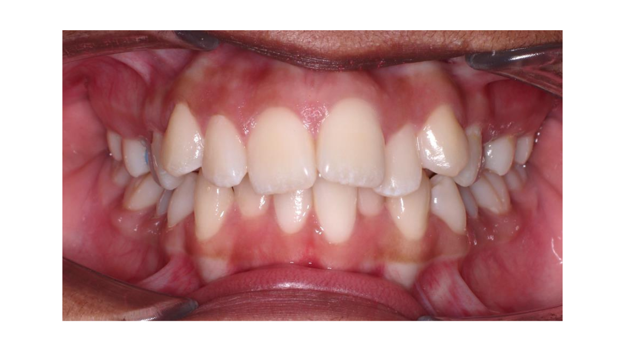
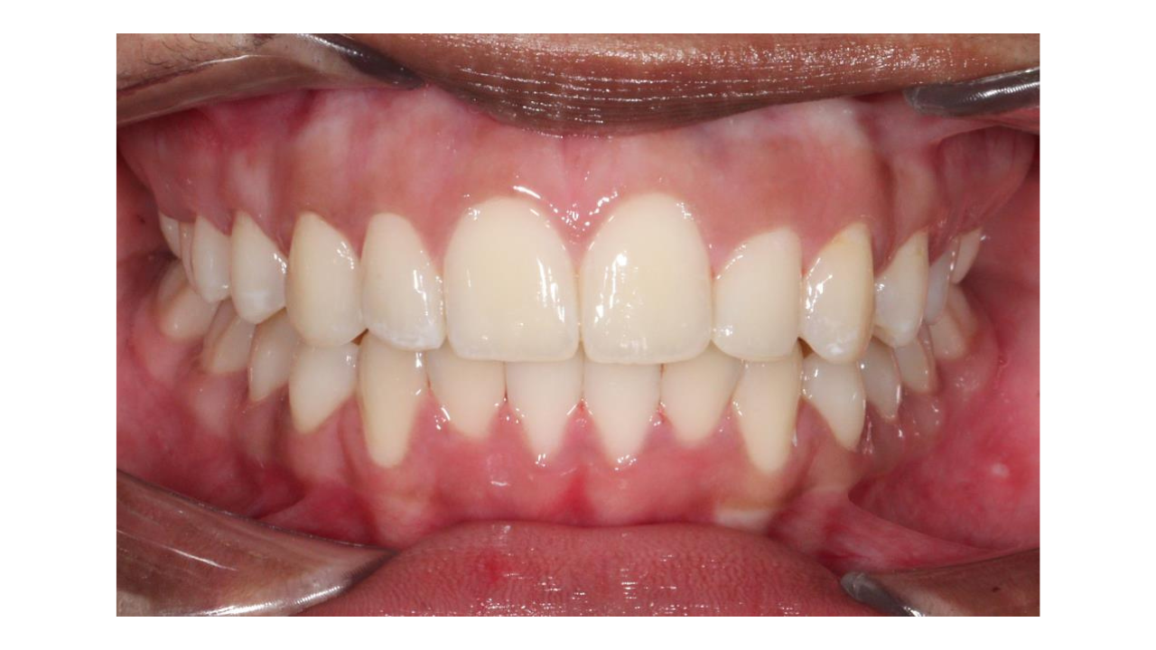
Results achieved with Expander and Damon Braces in 14 months

Case treated with Spark Aligners in under one year

Case treated with Digital Insignia Braces in 15 months.

Results achieved with Expander and Damon Braces in 14 months
